更新日:2022.10.12大ケガした子ダヌキのお話 前編
更新日:2022.10.12
大ケガした子ダヌキのお話 前編
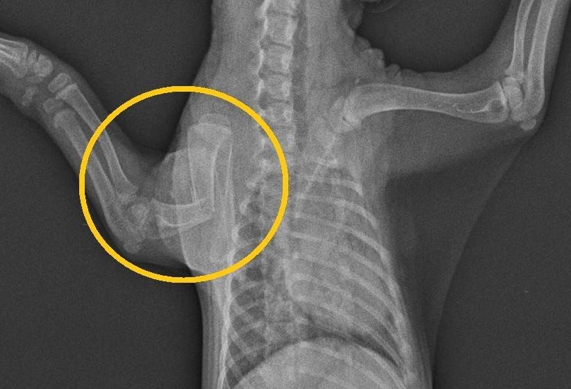
こちらの写真をご覧ください。

これは6月半ばに保護されたホンドタヌキのレントゲン写真です。
さあどこをケガしているでしょうか?
正解は・・・

はい、右上腕骨が骨折していました。見事にポッキリ折れてしまっています。
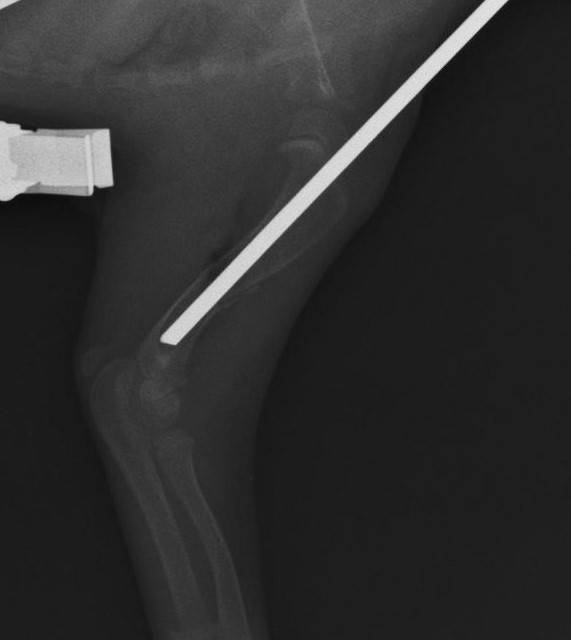
この個体はまだ体重が700gほどの子どものタヌキでした。
すぐに手術をして、骨折部にピンを挿入し、固定しました。こんな感じです。

もちろんこれだけではちゃんとした固定にならないので、テーピングも行います。
少なくとも2週間くらいはこのまま固定していないと骨折は治りません。
当初は弱っていて元気がなかったせいか、おとなしかったので、
テーピングも問題なかったのですが・・・。

次第に元気になってきて、動き回るようになり、
なんとたった5日目でテーピングがずれてピンが抜けてしまいました。
これではまずい!ということで再手術を行い、どうにかまた固定を行いました。

その後は無事固定の状態が保たれ、骨折の治癒を確認し、ピンを抜いてテーピングも外しました。
これでめでたしめでたし、と思いきや・・・!
話は次回に続きます。
(動物病院 小野)