更新日:2025.08.04レッサーパンダ キクの妊娠記録
レッサーパンダ キクの妊娠記録
皆様こんにちは!
アムールヒョウ・レッサーパンダ担当です。
さて、キクの妊娠期間中に我々飼育員は様々な写真を記録として撮りためていました。
その中でもおそらく最も分かりやすい、キクのお腹に焦点を当て、皆様と変化を一緒に見ていけたらと思います!写真多めでお送りします♪
↑最終交尾日から約1か月後の4/11
まだ写真を撮るのに(担当者が)慣れていないのがキクのポージングからわかります。
↑4/23撮影。1枚目よりもお腹が正面を向いていて、記録として良い状態です。
担当者がキクをこのポジションに誘導し、この体制をキープしてもらいつつ、カメラを構えるという一連の流れに慣れてきたころです(笑)
まだお腹はあまり目立ちません。
↑5/2撮影
前回よりふっくらしていますね。
↑5/16撮影
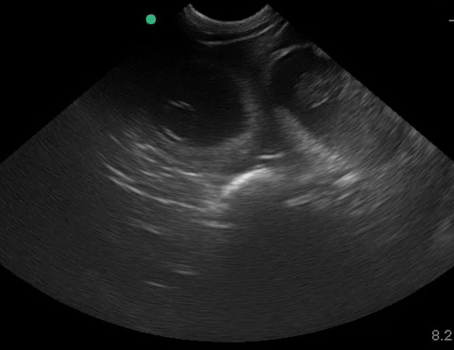
ちなみに5/19にエコー検査を行い、2頭の胎児が確認できました。
↑5/19撮影。エコー写真。
↑6/1撮影
↑6/13撮影
↑6/20撮影
↑6/24撮影。出産前日です!
この日乳首の腫脹がいつもより顕著だったため、本当に明日、明後日だろうな...と思ったことを覚えています。
現在はキクが寝室で、静かに子育てに専念できるような環境づくりに努めています。
出産から約1か月経ち、餌の時間になるとソワソワこちらを確認したり、餌を持っている担当者に催促をしてきたりと少しずつではありますが、キクにも余裕が出てきたようです。
今後もキクが健やかに安心して子育てに専念できるよう、サポートしてまいります。
↑ブレブレですが出産後初めて撮影できたキク(7/22撮影)
パンダ舎での「静かに!」という緊張感から、アムールヒョウ舎でも静かにしすぎて展示場のトライに「帰るよー」と小声で言ってしまった(もちろんトライには気付いてもらえませんでした)
アムールヒョウ・レッサーパンダ担当