更新日:2023.05.17野生動物はたくましい 前編
更新日:2023.05.17
野生動物はたくましい 前編
昨年大ケガした子ダヌキのお話をブログでご紹介しましたが、
その後も大ケガしたタヌキがやってきたので今回はそのお話をしたいと思います。
今回もおそらく交通事故ではないかと思われる症例でした。
ほれぼれするほどきれいな毛並みの立派な大人のタヌキです。
(回復後の写真)
ですが、保護時はほぼ反応なく、起立もできず、このまま死んでしまうのではと心配でした。
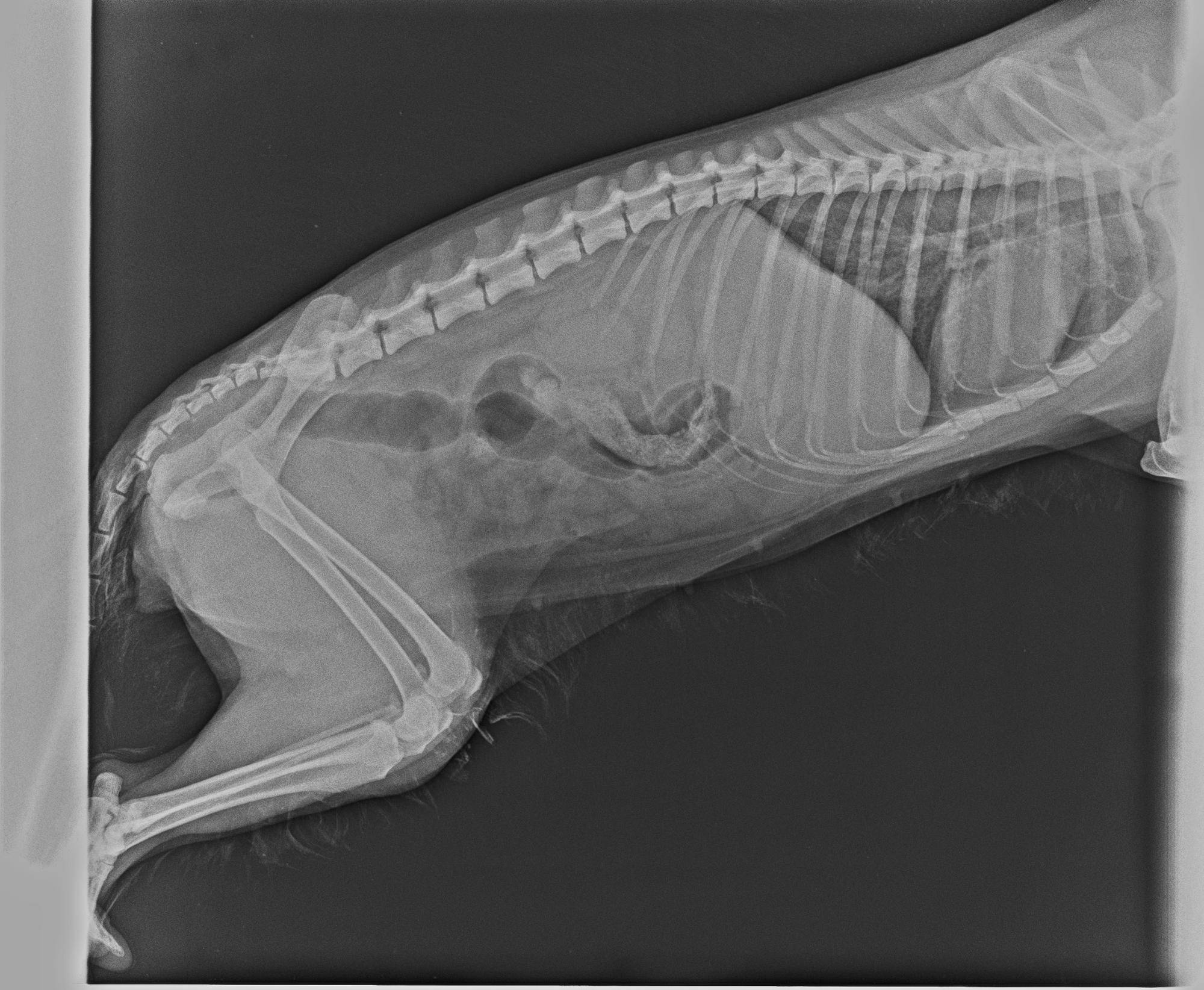
その際撮ったレントゲン写真がこちらです。


骨折は見当たらなかったものの、左後肢の膝関節がものすごく腫れていました。
あまりに腫れているので、そのときは動かすこともできませんでした。
数日すると餌を食べ始めましたが、排便がありません。
麻痺があるのかもしれないと思いましたが、徐々に自力で排便するようになり安堵しました。
そして腫れて動かなかった左後肢の膝関節がグラグラしているのを認め、脱臼していることがわかりました。
もちろんこのままにしておくわけにはいきません。頃合いを見て手術をすることにしました。
その様子を次回お伝えします。
(回復後の写真)
(動物病院 小野)