更新日:2020.06.26医療にまつわる言葉
更新日:2020.06.26
医療にまつわる言葉
みなさん、ニュースなどでスポーツ選手が怪我をした際に「疲労骨折」や「複雑骨折」や「粉砕骨折」といった似通った言葉を耳にする機会があると思います。骨折一つとってもいろいろな言葉があるので、今回は少しだけ、その解説をしてみたいと思います。
複雑骨折は一見、骨が粉々になっている状態を想像するかと思いますが、骨が粉々というか、いくつかの骨片に分かれてしまった骨折は粉砕骨折と言います。では、複雑骨折とは何かというと骨折した部位の皮膚も裂けてしまい、骨が露出した状態になる事を言います。すなわち、患部が空気に触れた状態の開放骨折の事を言います。傷病鳥獣で保護されてくる動物たちの骨折は車に衝突したりといった原因で保護されてくることが多いので、開放骨折でもあり複雑骨折でもある場合が多いです。
また、疲労骨折はスポーツ選手などの骨折として耳にする機会が多いですが、骨折とはなっていますが、完全に骨が折れている状態ではなく骨にヒビが入った状態のことを言います。骨の同じような部位に繰り返し刺激が生じる事でヒビが入ってしまうのですが、スポーツでは同じ動きを繰り返すことが多いため、スポーツ選手で生じる事が多いようです。では、動物の中ではどうなのかと言いますと、動物の中にもスポーツを行っている動物がいます。一番、聞きなじみがあるのは競走馬だと思いますが、競走馬も疲労骨折を生じてしまう場合があるのです。動物でも人でも無理がたたると良くないようです。みなさんもお気をつけください。

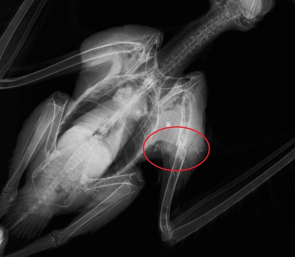
赤丸の部位の骨は横向きにポキッっと折れているので横骨折と言います。

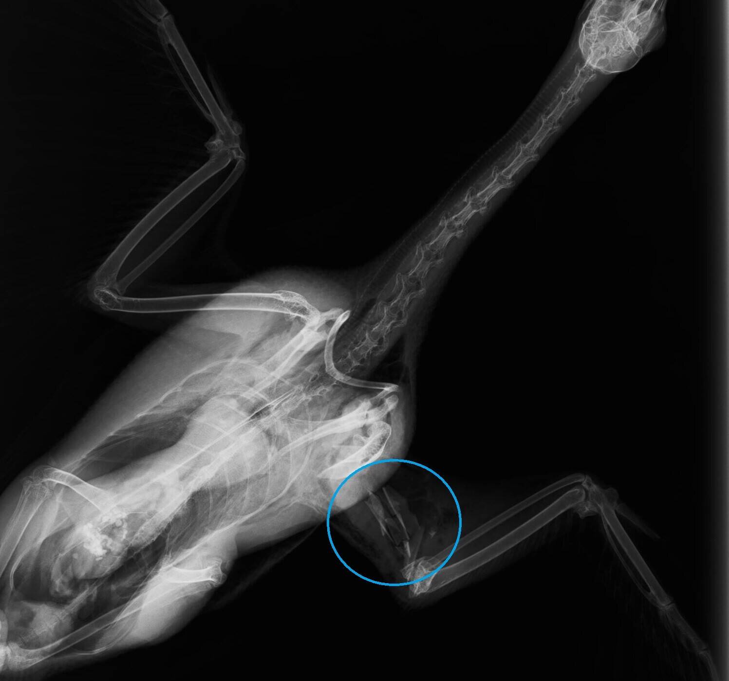
こちらの青丸は赤丸と同じ部位の骨折ですが、粉々になっているので粉砕骨折と言います。