更新日:2020.11.15若さの力
若さの力
金沢動物園に保護されてくる野生の哺乳類は、ほとんどがホンドタヌキです。
その中で最も多い保護原因は、「疥癬症」という皮膚病なのですが、交通事故や闘争などによる外傷によって保護されるケースもあります。中でも、闘争が原因と思われる外傷で保護されるタヌキは、若い個体が多く、受傷箇所は時に頭部や腰部などにも及びます。
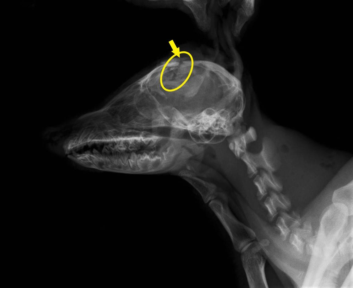
これは、今年の8月に保護された幼タヌキの頭部のX線写真です。
このタヌキは、鼻梁から前頭部にかけて深い咬傷を負い、その下の頭蓋骨が粉砕骨折していました(黄色矢印の色が黒く抜けた部分)、皮膚の裂開部からは、脳の一部が露出する大怪我でした。
さて、「頭蓋骨が粉々」「脳が露出するほどの傷」と聞くと、治癒は相当難しいという印象があるかもしれません。このタヌキも、患部が化膿しており、更に、粉砕した頭蓋骨の一部が眼球を圧迫することで、視覚障害をきたしていました。
これは、2か月後のX線写真です。
粉々に砕けていた頭蓋骨が増生し、うっすらと覆われています!
このタヌキの様に、頭蓋骨折に及ぶような頭部の咬傷は、幼若タヌキに時々見られます。恐らく、その年に生まれた社会経験の浅い個体が、闘争に巻き込まれてしまって受傷するものと思われます。咬んできた相手が成獣の場合は、受傷部は頭蓋骨や脳に達することが多いのですが、若さが幸いして治癒力が高く、想定するほど後遺症が残らないケースが度々あります。
ただし、これは回復力の旺盛な幼若個体に限ってのことで、残念ながら成獣の頭部外傷の予後はかなり悪いのですが・・・。
そして、このタヌキの元気になった姿がこちら!
丸々と太ってすこぶる快調。放野に向けたリハビリの最終段階での様子です。
その後、秋の実りの豊富な10月下旬、無事に野生に戻すことができました。大怪我から回復した持ち前の生命力で、力強く生きていくことを願っています!
(かあちゃん獣医)